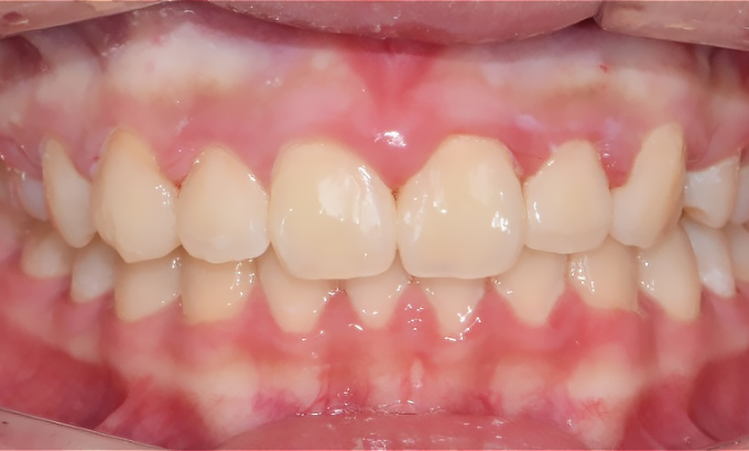
01

2020. 01. 20 ~ 2020. 06. 20
악교정 수술 없이 가능한 교정 치료입니다. 수술 교정 치료에 비해 제한적이지만 의미 있는 얼굴형 개선이 가능합니다.
Before
After
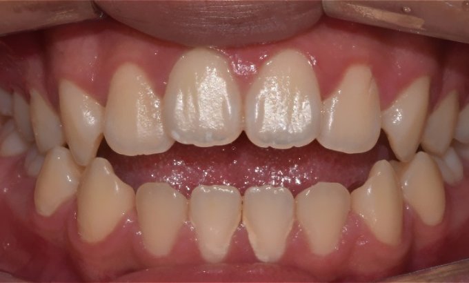
02

2019. 01. 20 ~ 2021. 01. 20
위 턱에 비해 과도하게 자란 주걱턱은 수술 교정을 통해 눈에 띄는 얼굴형 개선이 이루어 집니다.
Before
After










































